Libertação de 1 Texugo-europeu (Meles meles)
Castro Marim
No passado dia 9 de Março, o RIAS devolveu à Natureza um texugo fêmea que se encontrava em recuperação no centro.
Este animal foi encontrado por um particular, que posteriormente comunicou aos vigilantes da natureza da Reserva Natural do Sapal de Castro Marim e Vila Real de Santo António. Após a sua recolha, este foi entregue no RIAS para avaliação clínica, uma vez que o animal se encontrava num buraco de aproximadamente 3m de profundidade e não se alimentava há alguns dias.
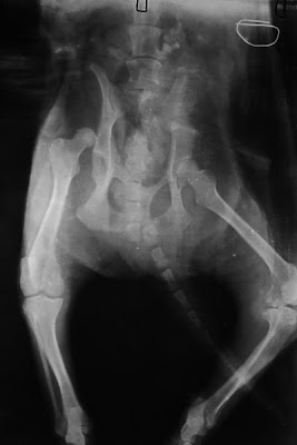
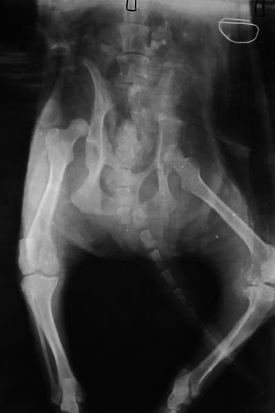
Durante o exame clínico foi-lhe diagnosticada uma luxação coxo-femoral traumática (desarticulação da cabeça do fémur com a bacia). O animal também estava desidratado e subnutrido.
Sob anestesia foi possível recolocar o fémur na posição normal tendo sido aplicada uma ligadura específica (ligadura de Ehmer) de modo a proteger a articulação nos primeiros dias. O restante tratamento consistiu em repouso, medicação anti-inflamatória e protector articular.


Após um mês de recuperação, este texugo readquiriu a capacidade de caminhar normalmente e uma vez que não apresentava mais nenhum problema, foi devolvido à Natureza perto do local de proveniência.




